Conditions de réussite d'un traitement orthodontique
Articles similaires
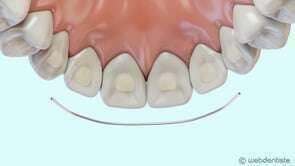
L'hygiène en orthodontie
Vidéos 3D
Les urgences orthodontiques
Vidéos 3D
Derniers articles
- À la une (6)
- Coûts et prise en charge (1)
- Incidents et urgences orthodontiques (2)
- Informations générales dentaires (7)
- L'orthodontie de l'adulte (4)
- La réussite d'un traitement (7)
- Les enfants & les adolescents (8)
- Orthodontie.. (2)
- Orthodontie (37)
- Qu'est-ce que l'orthodontie ? (12)
- Questions fréquentes en orthodontie (1)
